入れ歯治療
痛い・合わない『入れ歯』のお悩みありませんか?
入れ歯が合わない、噛めないといったお悩みがある、見た目が気になるけれど我慢して使い続けているといった方は多いのではないでしょうか。入れ歯には、よく噛める、人前で思いっきり笑える、といったことを希望することが通常です。保険の入れ歯は自費の入れ歯と比べて審美面や機能面に限界があります。
当院では、よりしっかりと噛めて見た目がよい自費の入れ歯もご用意しておりますので、入れ歯にお悩みの方はお気軽にご相談ください。
総入れ歯
歯をすべて失った場合の入れ歯です。口腔内を大きく覆うため、違和感があり話しにくかったり食べ物の味を感じにくかったりすることもあります。
部分入れ歯
1~数本の歯を失った場合の入れ歯です。保険の部分入れ歯は、残っている歯に金属のバネで固定するため、その歯に負担をかけることがあります。
保険入れ歯と自費入れ歯の比較
保険の入れ歯は使用できる材料や工程が決まっており、患者さんの全てのご希望を叶えることは困難です。一方、自費診療の入れ歯は材料や工程に制限がないため、患者さんのご希望に添った入れ歯を作製できます。また、最新の技術を用いて審美性や精密性、機能性を高めるように、品質を追求できることもメリットです。
このように、保険と自費ではどうしても患者さんの満足度に差が出ます。当院では、自費のオーダーメイドの入れ歯に対応しておりますので、どのようなご希望もまずはご相談ください。
入れ歯の種類
BPSデンチャー
BPS(Bio・functional・Prosthetic・System)は、生体機能的補綴システムのことで、フルオーダーメイドで作る精密な入れ歯です。BPS認定歯科技工士とともに噛み合わせや発音、顎や筋肉の動き、表情のバランスなどをチェックしたうえで入れ歯を作製します。
歯型を採取する際はオーダーメイドの印象用トレーを使用し、お口の動きに合わせた歯型をいくつも採取することで、口を開けたり強く噛んだりといったさまざまな動作に適合する入れ歯を作製できます。
高品質な素材を用いて精密に作製し、審美性と機能性に優れた入れ歯を実現します。
スマイルデンチャー
スマイルデンチャーとは、部分入れ歯の留め具「クラスプ」が付属しておらず、噛み心地にも優れた入れ歯です。高品質な素材を用いてきめ細かに調整するため、ご自身の歯のようにフィットして自然で美しい口元を再現できます。
レジン床義歯
レジン床義歯とは、人工の歯茎の部分がレジン製の入れ歯です。そこに金属のクラスプという留め具がついており、他の歯に引っかけて口内に安定させます。取り扱いが容易で、壊れたときも速やかに修理・調整ができます。
金属床義歯(チタン・コバルトクロム)
保険の入れ歯では、ピンク色のプラスチックの樹脂が顎の内側を覆います。プラスチックは強度が低いため、ある程度厚く作らなければなりません。その結果、食べ物の味を感じにくくなったり温度が伝わりにくくなったりするのです。
金属床義歯は人工の歯茎が金属製で、薄く作製することで装着時の違和感が少なくなっています。また、熱伝導性にも優れており食べ物の温度を感じやすく、食事を楽しむことができます。
ノンクラスプデンチャー
ノンクラスプデンチャーとは、クラスプがついていない部分入れ歯です。金属を一切使用しないため、金属アレルギーのリスクがありません。また、弾力性と柔軟性に優れており、口の中によくフィットします。お口を開けたときにクラスプが目立って見た目が気になることもありません。
マグネットデンチャー
マグネットデンチャーとは、磁石の力で入れ歯を口内に安定させるものです。例えば、インプラントで入れ歯を固定する場合は、インプラントに磁性ステンレスを埋め込んで入れ歯に磁石を取り付けます。そして、これらが近づくと自然に引き合って口内に安定させられるのです。
入れ歯治療についての院長の考え
入れ歯の症例
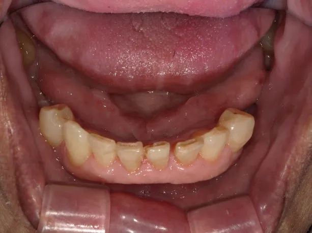
症例1 バネの見えないスマイルデンチャーで咬合を回復した症例
| 患者様 | 70代 男性 |
|---|---|
| 治療箇所 | 右下76 左下67 ノンクラスプデンチャー(スマイルデンチャー) |
| 治療費用 | 275000円 |
| 治療期間 | 4ヶ月 |
| 通院回数 | 12回 |
| 副作用やリスク | 慣れるまで違和感があることがあります。使用状況によっては保定装置が緩んだり掛けたりする可能性があります。 |
| Before | After |
|---|---|
![]() |
![]() |
![]() |
![]() |
![]() |
![]() |
![]() |
【詳細】
こちらの方は、前院長の時代から長くこみね歯科医院をご愛顧頂いている方です。長く定期的なメンテナンスも通って頂き、口腔ケアにも熱心に取り組んで頂いています。
今回はどうしても残すことができない状態の奥歯を抜歯し、そこへ部分義歯(スマイルデンチャー)を製作することになりました。
奥歯の欠損の治療方法としては大きく3つが考えられます。
一つ目はブリッジの治療ですが、一番奥の歯でしたので、欠損した歯の両端に橋渡しすることができず不採用となりました。(一番の奥の親知らずはありますが、支台となる歯としては適していないため)二つ目はインプラント治療です。チタン製の人工歯根を外科的に歯ぐきの中に埋め込み、その軸の上に人工歯をかぶせる方法です。
レントゲン、CT撮影などの精密検査の結果、奥歯の咬合力を支える骨の状態を精査し、外科的な侵襲や、治療期間、経済性なども考慮し、今回は採用しませんでした。三つ目が部分義歯です。保険治療の制限の中ではできない、ノンクラスプデンチャー(金属のフックが見えないタイプ)を選択されました。
形状の設計においては、しっかり咬合する役割の奥歯の左右両方ですので、本来は両側にまたがる一体型の義歯で安定させたいところです。そうなると見えない部分とは言え、下の前歯の裏側を入れ歯の床(ピンク色のプラスティック部分)で覆うことで多少の違和感は否めません。
できるだけ違和感の少ないように、大きな入れ歯は避けたいというご要望もありましたので、今回は左右別々の小さい入れ歯を2つ製作することとしました。
小さいスマイルデンチャーは、特殊なナイロン製の樹脂がとてもしなやかで割れにくいので、落としたり誤って踏んでしまっても壊れにくい素材でできています。また、非常に薄く、軽いのが特徴です。これまで全国で25万症例を超えており、ノンクラスプデンチャーの中でも非常に信頼性の高いものです。
現在も月1回ペースで、メンテナンスにお越しなり、チェックと専門のクリーニングを欠かさず受けておられます。こみね歯科では、「患者様参加型治療」を目指しています。
そのために、検査の段階からできる限り手鏡、写真、マイクロスコープ、検査結果などで口腔内を可視化し、多くの治療選択肢の中から一緒に治療方法を選んで頂いていますので、安心してお気軽にご相談ください。













